Wisdom Tooth Extraction/ Invisalign(Invisible Aligners) is a type of orthodontic treatment where clear aligners are used, instead of fixed brackets and wire braces; it provides an invisible orthodontic alternative to traditional metal appliances.
In Vitro Fertilization (IVF) is a process by which an egg is fertilized by injecting sperm in a laboratory. The embryo formed is then transferred into the uterus where it will hopefully implant and develop further.
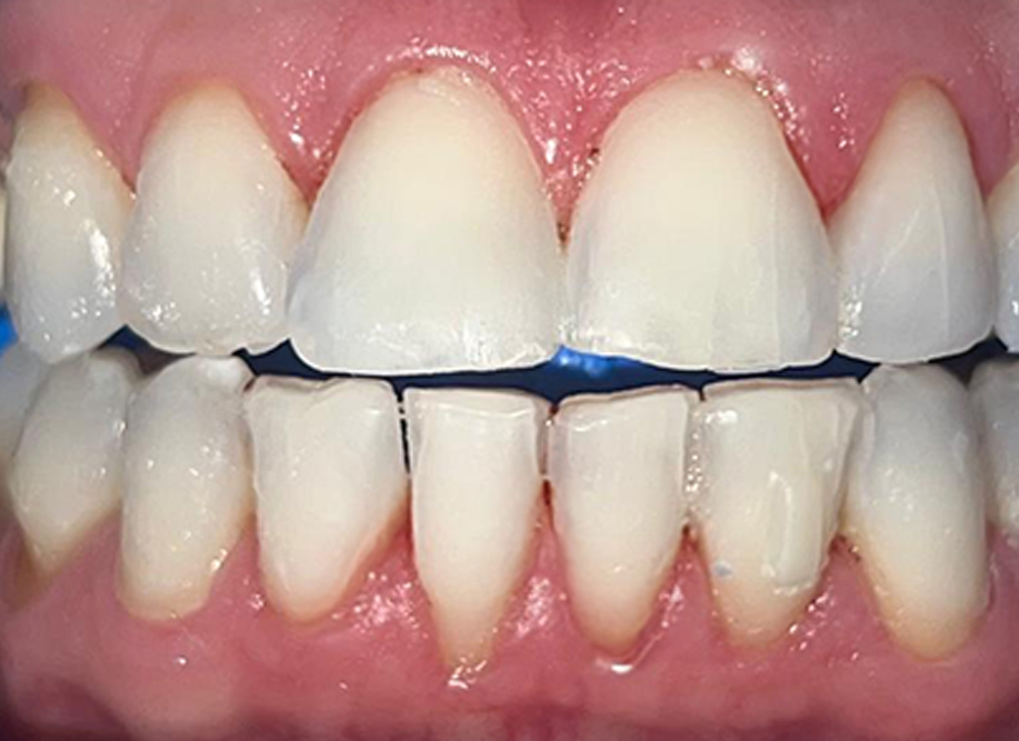
Endodontists are dentists with an additional 3 years of specialized education in the field of root canal therapy. These root canal specialist experts can efficiently provide high-quality care, even in instances where teeth may be more challenging to treat.
Purchasing used furniture offers numerous advantages, including significant cost savings compared to brand-new items, reduced environmental impact by extending the lifespan of existing furniture, and access to a diverse range of unique styles, eras, and brands to suit your personal taste and dΓ©cor.
When inspecting used furniture, pay attention to: Visible defects: Look for scratches, cracks, or signs of excessive wear and tear. Functional issues: Test all moving parts, mechanisms, and features to ensure proper operation. Frames and joints: Ensure they are sturdy and free of damage. Odors: Be aware of any unpleasant odors that may indicate mold or mildew.
Many used furniture stores and individual sellers offer delivery and installation services for an additional fee. Be sure to inquire about these services and associated costs before making a purchase.
Are you looking for a reliable and trustworthy hospital to dental clinic in hyderabad ? Look no further than book appointment for dental clinic, The Best dental clinic In Hyderabad, We Offer The Best Price
\
Highly recommended! Their team made the selling experience smooth and transparent. Fair pricing and quick payment. Will definitely use again! "
Exceptional service! Selling my furniture was effortless with their streamlined process. Got a great price and friendly support throughout.
"Impressive! The warranty and customer service exceeded my expectations. Secure payment and hassle-free pickup made the process seamless.
I had an amazing experience selling my furniture with this company. The team was incredibly helpful, and I received a fair price for my items. Their dedication to customer satisfaction truly stands out!
Peace of mind with our comprehensive furniture warranty coverage.
Dedicated support ensuring a seamless and satisfying experience for you.
Safe and reliable payment methods for your selling convenience.
Effortless pickup and delivery options tailored to your convenience.